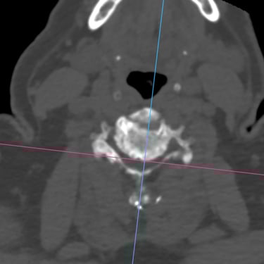
🧠Compresión medular cervical y dorsal: tratamiento mediante artrodesis y descompresión nerviosa.
La compresión medular cervical y dorsal es una patología grave que puede ocasionar déficit neurológico progresivo. La descompresión quirúrgica asociada a artrodesis vertebral permite liberar la médula espinal y estabilizar la columna, mejorando la función neurológica y evitando el deterioro clínico en pacientes adecuadamente seleccionados.








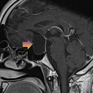
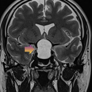
🧠Tumor selar quístico: abordaje mediante cirugía endoscópica transnasal (endoscopía selar).
Los tumores selares quísticos, como los adenomas hipofisarios quísticos o quistes de la bolsa de Rathke, pueden generar alteraciones visuales y hormonales. La cirugía endoscópica transnasal es una técnica mínimamente invasiva que permite el acceso seguro a la región selar, favoreciendo una resección eficaz con menor morbilidad.
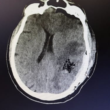
🧠Hematoma intracerebral parietal: tratamiento mediante craneotomía con evacuación de hemorragia.
El hematoma intracerebral parietal es una emergencia neurológica asociada a alta morbimortalidad. La craneotomía con evacuación del hematoma es una intervención quirúrgica indicada en casos seleccionados para reducir la presión intracraneal, limitar el daño cerebral y mejorar el pronóstico funcional en pacientes con deterioro neurológico significativo.
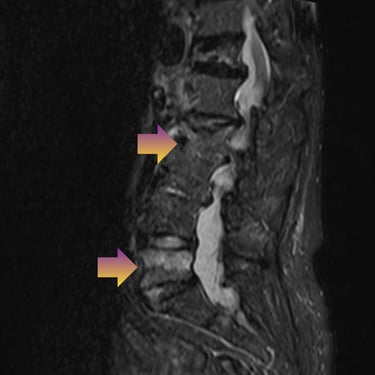
🧠Fractura vertebral lumbar osteoporótica en el adulto mayor: manejo con vertebroplastia percutánea.
Las fracturas vertebrales osteoporóticas en adultos mayores son una causa frecuente de dolor lumbar incapacitante. La vertebroplastia percutánea es un procedimiento mínimamente invasivo que permite estabilizar la vértebra afectada mediante la inyección de cemento óseo, logrando alivio del dolor y recuperación funcional temprana en pacientes seleccionados.








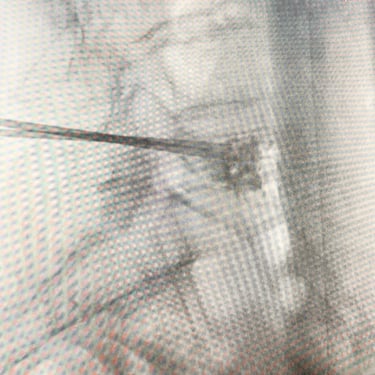
🧠Bloqueo lumbar selectivo en discopatía y espondiloartrosis: diagnóstico y alivio del dolor lumbar.
La discopatía degenerativa y la espondiloartrosis lumbar son causas frecuentes de dolor lumbar crónico. El bloqueo lumbar selectivo es un procedimiento mínimamente invasivo que permite identificar el origen del dolor y ofrecer alivio terapéutico mediante la administración dirigida de anestésicos y antiinflamatorios en las estructuras afectadas de la columna lumbar.
















🧠Listesis Lumbar L5–S1 por Fractura Ístmica: Estabilización con FTP y TLIF.
La listesis L5–S1 por fractura ístmica causa inestabilidad y dolor. El tratamiento quirúrgico con FTP y TLIF permite descompresión neural y estabilización vertebral, mejorando la función y calidad de vida.




