











🧠 Listesis L4–L5 con Estenosis Severa: Estabilización con Fijación Transpedicular (FTP) y Fusión Intersomática Transforaminal (TLIF)
La listesis L4–L5 con estenosis severa provoca dolor lumbar e inestabilidad con compresión nerviosa. La fijación transpedicular (FTP) y la fusión intersomática transforaminal (TLIF) permiten descomprimir el canal espinal, estabilizar la columna y mejorar la función de forma segura y progresiva.












🧠 Hidrocefalia: Tratamiento mediante Derivación Ventriculoperitoneal.
La hidrocefalia produce aumento de la presión intracraneal por acumulación de líquido cefalorraquídeo. La derivación ventriculoperitoneal permite un drenaje eficaz, reduce los síntomas y mejora la función neurológica, siendo una opción segura y efectiva cuando el tratamiento conservador no es suficiente.








🧠 Fractura Vertebral Lumbar: Estabilización Segura con Fijación Transpedicular (FTP).
La fractura vertebral lumbar genera inestabilidad y dolor severo. La artrodesis con fijación transpedicular es una técnica quirúrgica eficaz que estabiliza la columna, previene desplazamientos vertebrales y mejora la recuperación funcional del paciente.




🧠 Hernia Lumbar L5–S1 Derecha: Alivio del Dolor con Microdiscectomía.
La hernia lumbar L5–S1 derecha provoca dolor lumbar y radicular persistente. La microdiscectomía permite descomprimir el nervio afectado mediante una técnica precisa y mínimamente invasiva, logrando alivio del dolor, mejoría funcional y una recuperación más rápida.
















🧠 Hernia Lumbar Sintomática: Estabilidad y Descompresión con Artrodesis y TLIF.
La hernia lumbar sintomática causa dolor lumbar y radicular persistente. La artrodesis con tornillos transpediculares y TLIF es una opción quirúrgica eficaz para descomprimir las raíces nerviosas, estabilizar la columna y mejorar la calidad de vida del paciente.
🧠 Cirugía de Revisión Cervical: Estabilidad Posterior en Seudoartrosis y Enfermedad del Segmento Adyacente.
La seudoartrosis cervical con subsidencia del cage y enfermedad del segmento adyacente genera dolor e inestabilidad. La artrodesis cervical posterior con tornillos a masas laterales y pediculares es una técnica eficaz para lograr una fijación sólida, mejorar la estabilidad y aliviar los síntomas neurológicos.
🧠 Fractura Vertebral Dorsal por Mieloma: Estabilización y Descompresión Neurológica.
La fractura vertebral dorsal patológica por mieloma genera inestabilidad y compresión neurológica. La artrodesis con tornillos transpediculares y laminectomía estabiliza la columna y descomprime la médula espinal, reduciendo el dolor y mejorando la función neurológica del paciente.












🧠 Artrosis Lumbar Severa con Estenosis: Artrodesis y Descompresión Radicular.
La artrosis lumbar severa con estenosis genera dolor y compresión nerviosa. Cuando no mejora con tratamientos conservadores, se recomienda artrodesis y descompresión radicular, técnicas que liberan las raíces, reducen el dolor y estabilizan la columna. Este procedimiento mejora la movilidad y la calidad de vida del paciente.








🧠 Cirugía ALIF | Fusión Lumbar Intercorporal Anterior.
La cirugía ALIF (Fusión Lumbar Intercorporal Anterior) permite acceder a la columna desde el abdomen para reemplazar el disco dañado y lograr la fusión vertebral. Este abordaje mejora la alineación lumbar y preserva la musculatura posterior, ofreciendo excelentes resultados en manos de un neurocirujano especializado en columna vertebral.




🧠 Tumor Metastásico Dorsal | Biopsia Abierta.
El tumor metastásico dorsal compromete la columna y genera dolor y déficit neurológico. La biopsia abierta permite obtener tejido tumoral directamente de la lesión ósea, garantizando un diagnóstico histológico confiable. Con esta información se define el plan terapéutico, que puede incluir estabilización, radioterapia o resección quirúrgica.




🧠 Artrodesis Posterior | TLIF Abierto.
El TLIF abierto es una técnica de artrodesis lumbar posterior que combina descompresión y fusión intersomática. Mediante resección discal y colocación de injerto con caja intersomática, más tornillos pediculares, se estabilizan las vértebras y se descomprimen nervios. Permite aliviar dolor y mejorar la función del paciente.




🧠 Tumor Raquídeo Lumbar | Laminectomía y Exéresis de Tumor.
El tumor raquídeo lumbar se manifiesta con dolor, ciática y déficit neurológico. Su tratamiento es la laminectomía con exéresis tumoral, técnica que abre el canal raquídeo para resecar la lesión y descomprimir nervios. El objetivo es restaurar la función neurológica y lograr una recuperación satisfactoria.




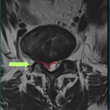
🧠 Estenosis Cervical | Artrodesis Cervical Posterior (ACP).
La ACP es una técnica quirúrgica indicada en la estenosis cervical severa. A través de un abordaje posterior se colocan tornillos y barras que estabilizan la columna, permitiendo descomprimir la médula espinal. Con ello se logra aliviar dolor, mejorar síntomas neurológicos y prevenir complicaciones futuras.




🧠 Artrodesis Dorsal en Fractura por Osteoporosis | Tornillo Canulado y Cemento Óseo.
La artrodesis dorsal con tornillo canulado y cemento óseo se utiliza en fracturas vertebrales por osteoporosis. Esta técnica ofrece fijación firme en hueso frágil, estabiliza la columna y alivia el dolor. El cemento refuerza los implantes, reduciendo fallas y permitiendo una recuperación más segura y funcional.




🧠 Artrodesis Cervical por Vía Posterior | Estabilización de la Columna Cervical.
La artrodesis cervical por vía posterior fija las vértebras inestables mediante tornillos y barras, favoreciendo la fusión ósea. Este procedimiento estabiliza la columna, protege la médula espinal y disminuye el dolor cervical. Se utiliza en traumatismos, tumores o degeneración avanzada, mejorando la calidad de vida del paciente.




🧠 Artrodesis Cervical Posterior | Cirugía de Estabilización Vertebral.
La artrodesis cervical posterior estabiliza la columna en casos de inestabilidad. Se realiza colocando tornillos y barras mediante un abordaje posterior, logrando la fusión ósea. Con ello se protege la médula espinal, se controla el dolor y se restaura la estabilidad, mejorando la recuperación y la función del paciente.




🧠 Artrodesis Cervical Posterior (ACP) | Cirugía de Estabilización de la Columna.
La ACP es una cirugía para estabilizar la columna cervical. Mediante un abordaje posterior se colocan tornillos y barras que fijan las vértebras, facilitando la fusión ósea. Su objetivo es reducir el dolor, proteger la médula espinal y restaurar la estabilidad cervical, mejorando la función del paciente.




🧠 Artrodesis Cervical C1-C2 | Cirugía de Estabilización Atlantoaxial.
La artrodesis cervical C1-C2 estabiliza la unión atlantoaxial en casos de inestabilidad. Mediante tornillos y barras, se fijan las vértebras atlas y axis, protegiendo la médula espinal y reduciendo dolor cervical. Esta cirugía asegura estabilidad, evita complicaciones neurológicas y permite una recuperación funcional más segura.




🧠 Hemorragia Subaracnoidea | Imagen Intraoperatoria del Cerebro.
La HSA es causada comúnmente por ruptura aneurismática. Se diagnostica con tomografía y angiografía cerebral. El tratamiento implica craneotomía y microcirugía, donde las imágenes intraoperatorias permiten observar directamente el cerebro, controlar la hemorragia y asegurar la lesión vascular, reduciendo riesgos y favoreciendo la recuperación neurológica.




🧠 Hemorragia Subdural Aguda (HSDA) | Diagnóstico y Manejo Quirúrgico.
La HSDA es una emergencia causada por traumatismos craneales severos. Se diagnostica con tomografía, que muestra un hematoma hiperdenso subdural. El tratamiento depende de la gravedad: casos severos requieren craneotomía o craniectomía descompresiva para evacuar la sangre, aliviar la presión intracraneal y mejorar las posibilidades de recuperación neurológica.
🧠 Hemorragia Intracerebral por AVM | Craneotomía y Evacuación de HIC.
La hemorragia intracerebral por AVM genera hipertensión intracraneal y déficit neurológico súbito. El abordaje quirúrgico indicado es la craneotomía con evacuación de HIC, que permite descomprimir el cerebro y controlar la hemorragia. En determinados casos, se reseca la AVM, evitando recurrencias y mejorando la recuperación clínica.








🧠Tumor Frontal Derecho | Craneotomía y Exéresis Tumoral.
El tumor frontal derecho ocasiona crisis epilépticas, cefalea y déficit neurológico. Su manejo es la craneotomía con exéresis microquirúrgica, que permite resecar el tumor bajo magnificación y neuronavegación, preservando funciones cerebrales. Esta técnica alivia síntomas, mejora la función y ofrece control tumoral seguro y efectivo.




🧠 Glioma Frontal Izquierdo | Craneotomía y Exéresis Tumoral.
El glioma frontal izquierdo produce crisis epilépticas y déficit neurológico. Su tratamiento es la craneotomía con exéresis microquirúrgica, apoyada en neuronavegación y, en casos seleccionados, cirugía con paciente despierto. Esta técnica busca resección amplia preservando funciones críticas, mejorando síntomas y calidad de vida.




🧠 Craneotomía y Resección de Glioma Cerebral | Microcirugía Oncológica.
El glioma cerebral se trata principalmente mediante craneotomía y resección microquirúrgica. Tras abrir un colgajo óseo y dural, se accede al tumor y se reseca bajo microscopio, empleando neuronavegación y monitoreo funcional. El objetivo es máxima resección con mínima secuela, mejorando pronóstico y calidad de vida del paciente.




🧠 Durotomía en Abordaje Pterional | Acceso Microquirúrgico.
La durotomía en el abordaje pterional permite acceder a la cisura silviana y estructuras profundas tras la craneotomía. Se realiza con apertura curvilínea precisa, bajo microscopio, cuidando venas corticales. Su correcta ejecución asegura un campo quirúrgico adecuado y un cierre hermético, evitando complicaciones posoperatorias.








🧠 Craneotomía y Exéresis de Quiste Cerebral | Cirugía de Precisión.
La craneotomía con exéresis de quiste cerebral permite resecar o drenar lesiones que producen hipertensión intracraneal o síntomas neurológicos. Mediante apertura ósea y microcirugía se elimina el quiste, descomprimiendo el cerebro y previniendo recurrencias. Es un procedimiento eficaz que mejora la evolución clínica del paciente.




🧠 Craneotomía Pterional Derecha | Abordaje Neuroquirúrgico.
La craneotomía pterional derecha brinda acceso a lesiones frontales, temporales y de la región selar. Se realiza mediante incisión en la zona pterional y apertura de un colgajo óseo, permitiendo microcirugía precisa en aneurismas y tumores. Es un abordaje seguro y versátil, diseñado para preservar función cerebral.




🧠 Meningioma Cerebral Gigante | Cirugía de Resección.
El meningioma cerebral gigante genera compresión cerebral y síntomas neurológicos progresivos. Su diagnóstico se realiza con RM y TAC, que definen extensión y relaciones anatómicas. El tratamiento es la resección microquirúrgica mediante craneotomía, buscando extirpar el tumor de forma segura, aliviar la presión intracraneal y mejorar la función del paciente.




🧠 Tumor de Tronco Encefálico | Craneotomía y Resección Microquirúrgica.
El tumor de tronco encefálico compromete funciones vitales y requiere manejo quirúrgico altamente especializado. Mediante craneotomía y resección microquirúrgica, se accede con precisión al tumor, buscando extirparlo sin dañar estructuras críticas. Este procedimiento ofrece control tumoral, mejora clínica y preservación funcional en pacientes cuidadosamente seleccionados.












🧠 Hematoma Epidural con Fractura Craneal | Cirugía de Urgencia.
El hematoma epidural, frecuentemente causado por fractura craneal, se caracteriza por acumulación de sangre entre el cráneo y la duramadre. Produce deterioro neurológico rápido y requiere diagnóstico inmediato por tomografía. El tratamiento es la craneotomía urgente para evacuar el hematoma y controlar la hemorragia, evitando complicaciones graves.




🧠 Fractura Craneal | Craniectomía Descompresiva y Sensor Intracraneal.
En fracturas craneales graves con hipertensión intracraneal, la craniectomía descompresiva permite liberar presión al retirar un segmento óseo. Se complementa con un sensor intracraneal que monitoriza la presión en UCI. Este manejo quirúrgico reduce riesgo de herniación cerebral, mejora perfusión y favorece la supervivencia del paciente.




🧠 Discectomía Cervical Anterior (ACDF) | Cirugía de Hernia Cervical.
La discectomía cervical anterior (ACDF) consiste en retirar un disco herniado a través de un abordaje anterior del cuello. Se descomprimen la médula y raíces nerviosas, y se coloca un injerto o caja intersomática con fijación. Este procedimiento alivia dolor, mejora función neurológica y estabiliza la columna cervical.




🧠 Artrodesis Cervical Posterior | Cirugía de Estabilización.
La artrodesis cervical posterior estabiliza la columna mediante colocación de tornillos y barras por vía posterior. Indicada en fracturas, inestabilidad o estenosis, puede incluir descompresión neurológica. Con injertos óseos se logra la fusión vertebral, mejorando dolor, fuerza y movilidad, además de garantizar estabilidad cervical duradera.




🧠 Discopatía y Estenosis Cervical | Cirugía de Discectomía Cervical Anterior y Fusión (ACDF).
La discopatía y estenosis cervical generan dolor, hormigueo y debilidad por compresión nerviosa. La cirugía ACDF (Discectomía Cervical Anterior y Fusión) retira el disco dañado, descomprime médula y raíces, y estabiliza con injerto y placa. Este procedimiento alivia síntomas, restaura función y mejora la calidad de vida.








🧠 Tumor Intracerebral | Craneotomía y Resección Quirúrgica.
La craneotomía con resección tumoral trata los tumores intracerebrales mediante extracción precisa de la lesión, preservando tejido cerebral sano. La cirugía microquirúrgica minimiza sangrado y riesgo neurológico, alivia síntomas y mejora calidad de vida, siendo un procedimiento seguro y efectivo para el manejo de lesiones cerebrales.
🧠 Hematoma Subdural Crónico | Trepanopunción Ampliada y Evacuación
La craneotomía bifrontal se utiliza para abordar tumores de la línea media y el espacio interhemisférico. Mediante incisión y disección bifrontal, se expone el hueso craneal y se crea un acceso amplio que permite resección segura de lesiones complejas, preservando estructuras críticas y favoreciendo recuperación neurológica.








🧠 Incisión y Disección Bifrontal con Craneotomía.
La craneotomía bifrontal comienza con una incisión y disección cuidadosa del cuero cabelludo y tejidos blandos, exponiendo el hueso frontal. Este abordaje otorga acceso amplio a lesiones de base de cráneo y región supraselar, permitiendo resecciones seguras y preservación de estructuras críticas en neurocirugía avanzada.




















🧠 Colocación de Marco de Estereotaxia | Biopsia Cerebral.
La colocación de marco de estereotaxia permite realizar biopsias cerebrales con gran precisión. Tras fijar el marco a la cabeza, se definen coordenadas mediante TAC o RM y se introduce la aguja de biopsia. Este procedimiento seguro facilita el diagnóstico histológico de lesiones profundas, optimizando el manejo neurológico.




🧠 Tumor Selar | Microcirugía.
El tumor selar puede causar alteraciones visuales y hormonales. Su tratamiento principal es la microcirugía transesfenoidal, que permite resecar el tumor con precisión mediante acceso mínimamente invasivo. El uso del microscopio asegura seguridad quirúrgica, preserva estructuras críticas y mejora la recuperación clínica del paciente.








🧠 Laminectomía Cervical | Cirugía Descompresiva de Columna.
La laminectomía cervical consiste en retirar la lámina vertebral para descomprimir la médula espinal y raíces nerviosas. Indicada en estenosis cervical severa, alivia dolor, hormigueo y debilidad. Puede complementarse con artrodesis para estabilizar la columna. Es una cirugía eficaz para mejorar la función neurológica y calidad de vida.








🧠 Craniectomía Suboccipital | Exéresis de MAV con Hemorragia Cerebelosa.
La craniectomía suboccipital permite evacuar una hemorragia cerebelosa y resecar una MAV en la fosa posterior. Se retira hueso occipital, se accede al hematoma y se realiza exéresis microquirúrgica del nidus vascular. Este abordaje descomprime el tronco encefálico, previene resangrado y mejora la evolución neurológica del paciente.




