Trauma Craneal Severo | Diagnóstico por Imágenes
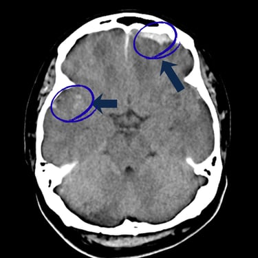
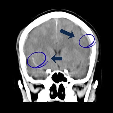
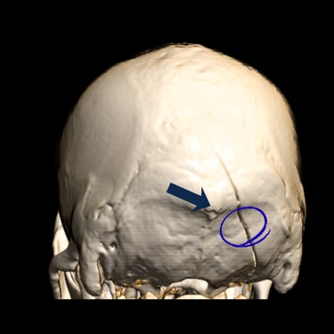
El trauma craneal severo es una de las principales emergencias neurológicas y puede poner en riesgo la vida del paciente. El diagnóstico por imágenes, a través de tomografía computarizada o resonancia magnética, es fundamental para identificar hemorragias, fracturas o lesiones cerebrales y definir el tratamiento adecuado. La evaluación temprana y la intervención oportuna por parte del neurocirujano permiten reducir complicaciones y mejorar el pronóstico neurológico. Una atención especializada y multidisciplinaria resulta esencial para garantizar la recuperación y preservar las funciones cerebrales.
Dr. David Tafur (Neurocirugía)
11/5/2025








