TEC Severo: Craneotomía Descompresiva Hemisférica y Evacuación de Hematoma Extradural
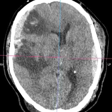
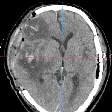
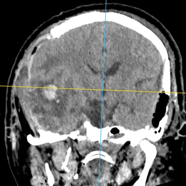
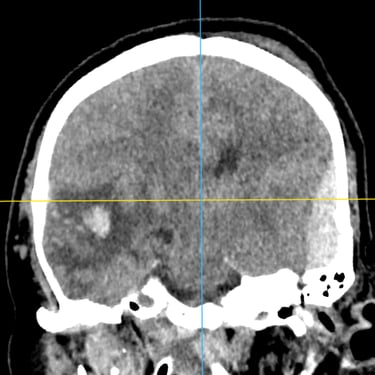
El traumatismo encéfalo craneano (TEC) severo es una emergencia neurológica que puede comprometer rápidamente la vida del paciente. Cuando existe edema cerebral difuso y hematomas asociados, el tratamiento quirúrgico oportuno es fundamental. La craneotomía descompresiva hemisférica derecha permite reducir la presión intracraneal y prevenir daño cerebral secundario, mientras que la craneotomía temporal izquierda con evacuación de hematoma extradural (HED) elimina el efecto de masa local. Este abordaje combinado busca preservar la perfusión cerebral, estabilizar al paciente y mejorar el pronóstico neurológico en situaciones críticas.
Dr. David Tafur (Neurocirugía)
1/10/2026












