Sarcoma Sacro: Citorreducción Tumoral y Descompresión Nerviosa
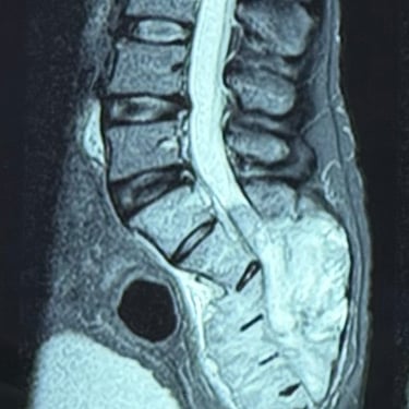
El sarcoma sacro es una neoplasia poco frecuente y de manejo complejo que puede generar dolor severo, alteraciones neurológicas y compromiso de la movilidad por afectación de las raíces nerviosas sacras. El tratamiento quirúrgico mediante citorreducción tumoral tiene como objetivo disminuir el volumen del tumor, mientras que la descompresión nerviosa permite aliviar la presión sobre las estructuras neurológicas comprometidas. Este abordaje busca mejorar el control del dolor, preservar la función neurológica y optimizar la calidad de vida del paciente. La planificación cuidadosa y el manejo multidisciplinario son fundamentales para obtener mejores resultados clínicos.
Dr. David Tafur (Neurocirugía)
1/26/2026
















