Quiste Aracnoideo Suboccipital | Diagnóstico por Resonancia Magnética
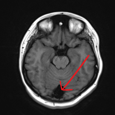
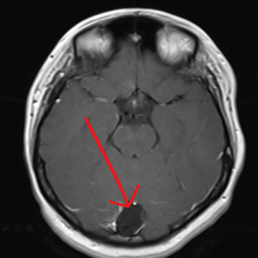
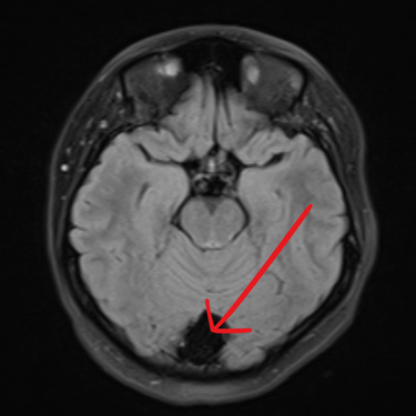
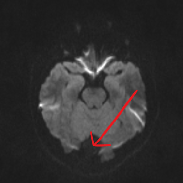
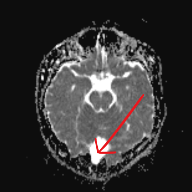
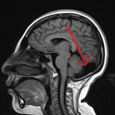
El quiste aracnoideo suboccipital es una lesión benigna de origen congénito, formada por una acumulación de líquido cefalorraquídeo entre las membranas aracnoideas. Aunque en muchos casos puede ser asintomático y detectarse de manera incidental, también puede producir cefalea, mareos, alteraciones del equilibrio o compresión del cerebelo y tronco encefálico. La resonancia magnética (RMN) es el estudio de elección, ya que permite definir la localización, tamaño y sus efectos sobre estructuras adyacentes. Este diagnóstico es clave para establecer la conducta terapéutica, que puede variar entre seguimiento clínico-radiológico o tratamiento quirúrgico en casos sintomáticos o de crecimiento progresivo.
Dr. David Tafur (Neurocirugía)
10/1/2025












