Osteomielitis Frontal | Diagnóstico por Tomografía
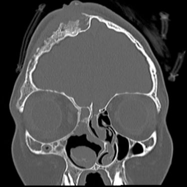
La osteomielitis frontal es una infección del hueso craneal que generalmente se origina como complicación de una sinusitis frontal no tratada o mal resuelta. Clínicamente puede manifestarse con dolor localizado, fiebre, edema frontal y signos inflamatorios en la región afectada. El método diagnóstico de elección es la tomografía computarizada (TC), que permite identificar destrucción ósea, engrosamiento cortical e incluso colecciones asociadas. Este estudio es esencial para diferenciarla de otras lesiones y planificar un tratamiento adecuado, que puede incluir antibióticos de amplio espectro y cirugía para drenar y desbridar el tejido infectado, evitando complicaciones intracraneales graves.
Dr. David Tafur (Neurocirugía)
10/1/2025








