Lumbalgia Crónica en el Adulto Mayor | Bloqueo Lumbar Selectivo
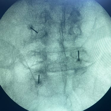
La lumbalgia crónica es una causa frecuente de dolor e incapacidad en el adulto mayor, generalmente asociada a degeneración discal, artrosis facetaria o compresión nerviosa. Cuando el dolor persiste pese al tratamiento convencional, se recurre al bloqueo lumbar selectivo, un procedimiento mínimamente invasivo que consiste en inyectar anestésico y antiinflamatorio alrededor de la raíz nerviosa afectada. Este tratamiento permite identificar el origen del dolor y aliviarlo de manera rápida y efectiva, mejorando la movilidad y calidad de vida del paciente. Es una alternativa segura, ambulatoria y con excelentes resultados en el manejo del dolor lumbar crónico.
Dr. David Tafur (Neurocirugía)
11/1/2025












