Listesis Lumbar L5–S1 por Fractura Ístmica: Estabilización con FTP y TLIF
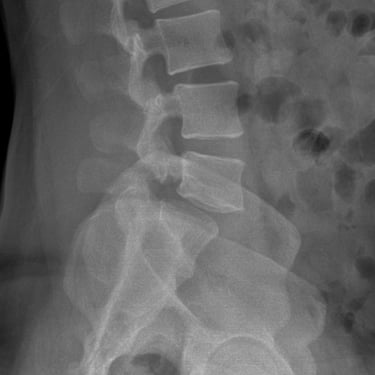
La listesis lumbar L5–S1 por fractura ístmica se produce por un defecto en la pars interarticularis que genera inestabilidad vertebral, dolor lumbar crónico y compromiso radicular. Cuando el tratamiento conservador no es efectivo, la artrodesis lumbar con fijación transpedicular (FTP) asociada a la fusión intersomática transforaminal (TLIF) es una alternativa quirúrgica eficaz. Este procedimiento permite descomprimir las raíces nerviosas, restaurar la alineación vertebral y lograr una fijación sólida del segmento afectado. La combinación de estabilización y fusión reduce el dolor, mejora la función y favorece una recuperación segura y progresiva.
Dr. David Tafur (Neurocirugía)
1/17/2026




















