Hidrocefalia y Disfunción de Derivación: Colocación de Derivación Ventrículo-Pleural
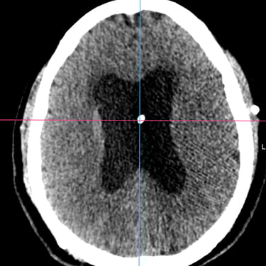
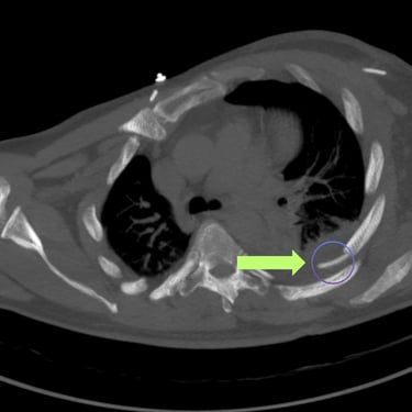
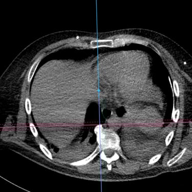
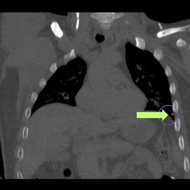
La hidrocefalia puede complicarse cuando la derivación ventrículo-peritoneal deja de funcionar correctamente, produciendo aumento de la presión intracraneal y síntomas como cefalea, vómitos, somnolencia o deterioro neurológico. Cuando el peritoneo deja de ser una opción viable debido a infecciones, cirugías previas o mala absorción, se considera la derivación ventrículo-pleural como alternativa efectiva. Este procedimiento permite redirigir el líquido cefalorraquídeo hacia la cavidad pleural, donde puede ser absorbido adecuadamente. La intervención oportuna restablece el drenaje del LCR, reduce la presión intracraneal y mejora el pronóstico del paciente, siendo una solución segura en casos de disfunción peritoneal.
Dr. David Tafur (Neurocirugía)
12/4/2025












