Hidrocefalia: Tratamiento mediante Derivación Ventriculoperitoneal
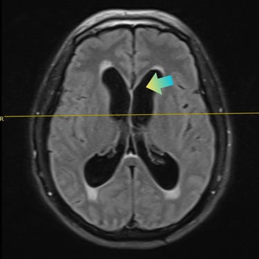
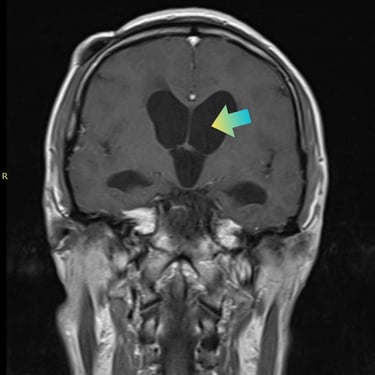
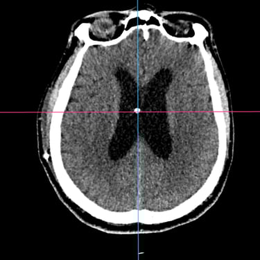
La hidrocefalia es una condición caracterizada por la acumulación anormal de líquido cefalorraquídeo en los ventrículos cerebrales, lo que genera aumento de la presión intracraneal y síntomas como cefalea, náuseas, alteraciones cognitivas y trastornos de la marcha. Cuando el manejo médico no es suficiente, la derivación ventriculoperitoneal (DVP) es el tratamiento quirúrgico más utilizado. Este procedimiento permite drenar el exceso de líquido desde el cerebro hacia la cavidad abdominal, donde es reabsorbido, aliviando la presión intracraneal y mejorando la función neurológica. El tratamiento oportuno es clave para prevenir secuelas.
Dr. David Tafur (Neurocirugía)
2/3/2026
















