Hidrocefalia Posthemoventricular: Tratamiento con Derivación Ventriculoperitoneal
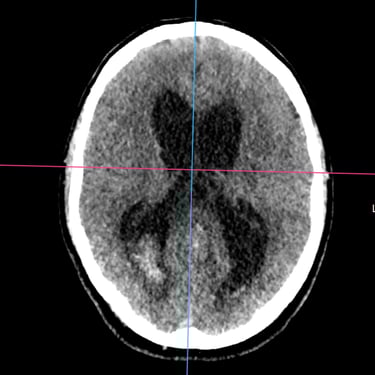
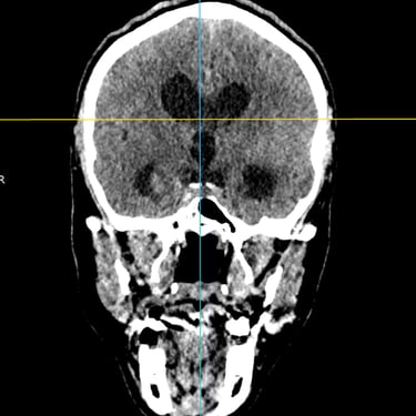
La hidrocefalia posthemoventricular se produce por alteración en la circulación y absorción del líquido cefalorraquídeo tras una hemorragia intraventricular, generando dilatación ventricular y deterioro neurológico progresivo. Cuando el manejo médico resulta insuficiente, la derivación ventriculoperitoneal constituye el tratamiento quirúrgico de elección. Este procedimiento permite drenar el exceso de líquido cefalorraquídeo desde los ventrículos cerebrales hacia la cavidad peritoneal, reduciendo la presión intracraneal y mejorando los síntomas neurológicos. La intervención oportuna contribuye a estabilizar la función cerebral y a optimizar el pronóstico funcional del paciente.
Dr. David Tafur (Neurocirugía)
1/16/2026








