Hidrocefalia – Colocación de derivación ventriculoperitoneal (DVP).
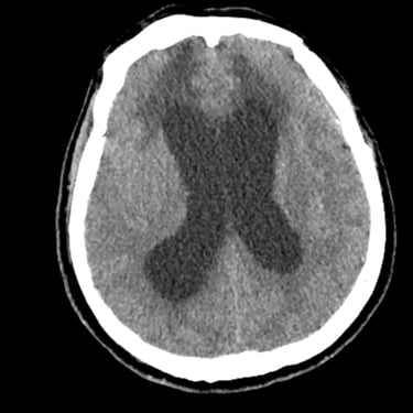
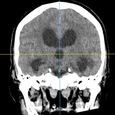
La hidrocefalia es una condición neurológica causada por la acumulación anormal de líquido cefalorraquídeo dentro de los ventrículos cerebrales, lo que genera aumento de la presión intracraneal y deterioro neurológico progresivo. La colocación de una derivación ventrículoperitoneal (DVP) es el tratamiento quirúrgico más utilizado para controlar esta patología. Este sistema permite drenar el exceso de líquido desde el cerebro hacia la cavidad abdominal, donde se reabsorbe de manera segura. La intervención oportuna alivia los síntomas, previene daño cerebral y mejora la calidad de vida del paciente.
Dr. David Tafur (Neurocirugía)
12/13/2025












