Hernia de Disco Lumbar | Diagnóstico por Resonancia Magnética
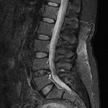
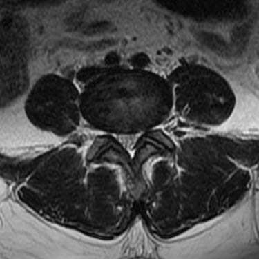
La hernia de disco lumbar se produce cuando el núcleo pulposo del disco intervertebral se desplaza y comprime las raíces nerviosas, generando dolor lumbar, ciática y debilidad en las piernas. El diagnóstico por resonancia magnética (RMN) es el método más preciso para identificar el nivel afectado y el grado de compresión nerviosa. Este estudio permite evaluar la morfología del disco, el canal vertebral y las estructuras adyacentes, orientando el tratamiento médico o quirúrgico. La detección temprana mediante RMN es fundamental para prevenir daño neurológico y planificar una intervención segura y efectiva en caso necesario.
Dr. David Tafur (Neurocirugía)
10/18/2025








