Hernia cervical – Cirugía de discectomía con artrodesis (ACDF)
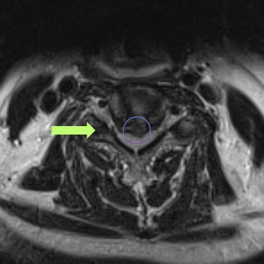
La hernia cervical es una causa frecuente de dolor en el cuello, hormigueo en los brazos y debilidad muscular. Cuando el tratamiento conservador no alivia los síntomas, la cirugía de discectomía cervical con artrodesis (ACDF) se convierte en una excelente alternativa. Este procedimiento consiste en retirar el disco dañado que comprime los nervios y reemplazarlo con un injerto o prótesis que estabiliza la columna. La ACDF ofrece alta tasa de éxito, mejorando el dolor, la fuerza y la calidad de vida. Gracias a técnicas modernas y una recuperación controlada, muchos pacientes vuelven rápidamente a sus actividades habituales.
Dr. David Tafur (Neurocirugía)
12/5/2025
















