Hemorragia Intracerebral: Craneotomía y Evacuación del Hematoma
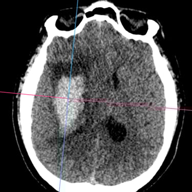
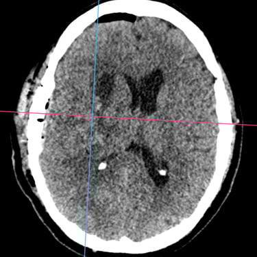
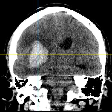
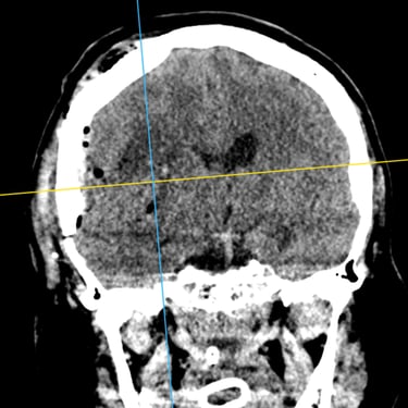
La hemorragia intracerebral es una emergencia neurológica grave que requiere diagnóstico rápido y tratamiento oportuno. Cuando el hematoma produce efecto de masa, deterioro del estado de conciencia o riesgo de herniación, la craneotomía y evacuación quirúrgica se convierten en la opción indicada. Este procedimiento permite abrir la bóveda craneal, retirar el coágulo y disminuir la presión intracraneal, preservando la función neurológica. Su objetivo es detener el daño secundario, mejorar la perfusión cerebral y estabilizar al paciente. La intervención temprana, combinada con cuidados críticos especializados, aumenta las posibilidades de supervivencia y recuperación funcional en este tipo de emergencia.
Dr. David Tafur (Neurocirugía)
12/4/2025
















