Hematoma subdural subagudo: evacuación mediante burr hole ampliado
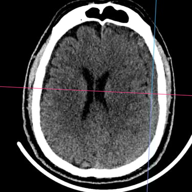
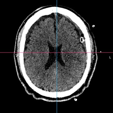
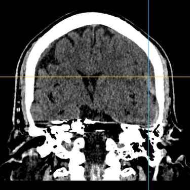
El hematoma subdural subagudo se caracteriza por la acumulación progresiva de sangre entre la duramadre y la superficie cerebral, generalmente posterior a un traumatismo craneal. Esta condición puede generar síntomas como dolor de cabeza persistente, confusión, debilidad en extremidades o alteración del estado de conciencia. El tratamiento quirúrgico consiste en la evacuación del hematoma mediante burr hole ampliado, técnica que permite realizar un orificio en el cráneo para drenar el contenido hemático y descomprimir el cerebro. Este procedimiento ayuda a disminuir la presión intracraneal, mejorar los síntomas neurológicos y prevenir complicaciones asociadas a la compresión cerebral.
Dr. David Tafur (Neurocirugía)
3/7/2026












