Hematoma Subdural Crónico | Diagnóstico por Resonancia Magnética
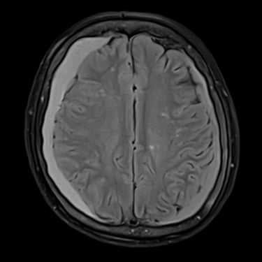
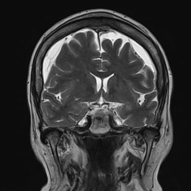
El hematoma subdural crónico es una acumulación lenta de sangre entre la duramadre y la superficie cerebral, generalmente secundaria a traumatismos leves en pacientes mayores o anticoagulados. Sus síntomas pueden incluir cefalea persistente, debilidad, alteraciones del lenguaje o cambios en el comportamiento. La resonancia magnética cerebral permite identificar con precisión la extensión y la antigüedad del sangrado, diferenciándolo de otras lesiones intracraneales. Este estudio es esencial para planificar el tratamiento, que puede requerir drenaje quirúrgico mediante trepanación o craneotomía mínima, permitiendo la recuperación neurológica progresiva y reduciendo el riesgo de recurrencia.
Dr. David Tafur (Neurocirugía)
10/18/2025




