Fractura Craneal | Diagnóstico por Tomografía
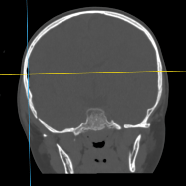
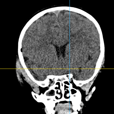
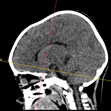
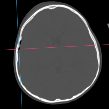
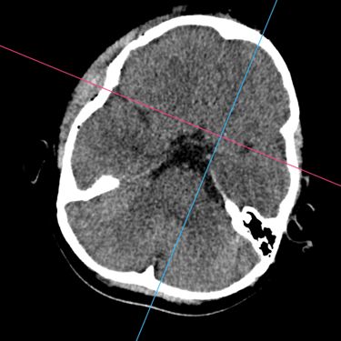
La fractura craneal es una lesión que puede producirse tras un traumatismo craneoencefálico, con riesgo de comprometer el cerebro y las estructuras intracraneales. Los síntomas incluyen dolor local, edema, hematomas y, en casos graves, alteración del nivel de conciencia. La tomografía computarizada (TC) es el estudio de elección para su diagnóstico, ya que permite identificar con precisión el trazo de fractura, desplazamientos óseos, hemorragias asociadas y la afectación de senos venosos o base de cráneo. Un diagnóstico temprano mediante TC es esencial para definir la conducta terapéutica y prevenir complicaciones neurológicas potencialmente graves.
Dr. David Tafur (Neurocirugía)
10/1/2025












