Discopatía Lumbar Degenerativa con Artrosis Facetaria | Diagnóstico por Resonancia Magnética
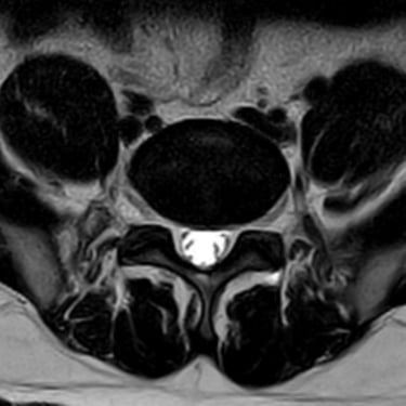
La discopatía lumbar degenerativa con artrosis facetaria es una causa frecuente de dolor lumbar crónico, que limita la movilidad y la calidad de vida del paciente. Esta condición combina la degeneración de los discos intervertebrales con el desgaste de las articulaciones facetarias, lo que puede generar inestabilidad y compresión nerviosa. La resonancia magnética (RMN) es la herramienta diagnóstica más precisa, ya que permite identificar deshidratación y colapso discal, hipertrofia facetaria, estenosis foraminal y signos de inflamación. El diagnóstico temprano es fundamental para establecer un tratamiento adecuado, que puede ir desde medidas conservadoras hasta técnicas quirúrgicas mínimamente invasivas.
Dr. David Tafur (Neurocirugía)
10/1/2025








