Discopatía Degenerativa Lumbar con Cambios Modic | Diagnóstico por RMN
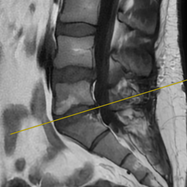
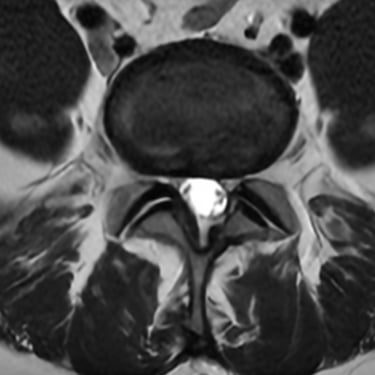
La discopatía degenerativa lumbar es una de las principales causas de dolor lumbar crónico. Se caracteriza por la pérdida de altura discal, deshidratación y cambios en las superficies vertebrales adyacentes. En la resonancia magnética (RMN) se identifican los cambios Modic, que reflejan alteraciones inflamatorias y degenerativas en el hueso subcondral: tipo I (edema), tipo II (grasa) y tipo III (esclerosis). Estos hallazgos permiten correlacionar el dolor lumbar con la patología discal y orientar un tratamiento personalizado. La RMN es, por tanto, una herramienta esencial para el diagnóstico preciso y la planificación terapéutica en pacientes con esta condición.
Dr. David Tafur (Neurocirugía)
10/1/2025








