Columna lumbar inestable con listesis: tratamiento con artrodesis y tornillos transpediculares
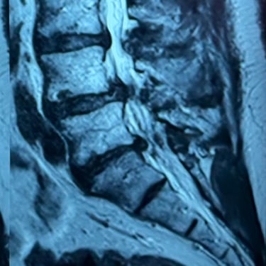
La listesis lumbar ocurre cuando una vértebra se desplaza hacia adelante o hacia atrás respecto a la vértebra inferior, generando inestabilidad de la columna lumbar. Esta condición puede causar dolor lumbar crónico, compresión nerviosa, ciática, debilidad en las piernas o dificultad para caminar. Cuando el tratamiento conservador no es suficiente, la artrodesis lumbar con tornillos transpediculares es una alternativa quirúrgica eficaz. Este procedimiento permite fijar las vértebras afectadas mediante implantes que estabilizan la columna y favorecen la fusión ósea. Con técnicas modernas y abordajes mínimamente invasivos, se logra aliviar el dolor, mejorar la estabilidad vertebral y recuperar la función del paciente.
Dr. David Tafur (Neurocirugía)
3/7/2026




