Absceso Cerebral | Diagnóstico por Tomografía Cerebral
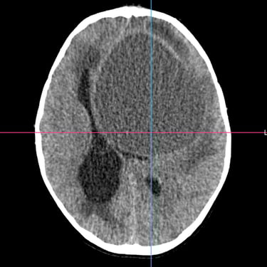
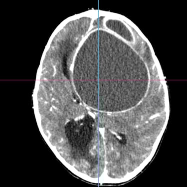
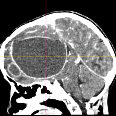
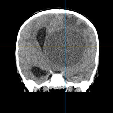
El absceso cerebral es una infección localizada del parénquima cerebral que produce acumulación de pus e inflamación, generando cefalea, fiebre, alteración del estado de conciencia o déficit neurológico focal. El diagnóstico temprano es fundamental para evitar complicaciones graves. La tomografía cerebral con contraste es el estudio de elección inicial, ya que permite visualizar una lesión hipodensa con realce en anillo característico. Posteriormente, la resonancia magnética complementa la evaluación. El tratamiento combina antibioticoterapia dirigida y, en casos seleccionados, drenaje quirúrgico o resección. La detección oportuna mediante imágenes mejora significativamente el pronóstico del paciente.
Dr. David Tafur (Neurocirugía)
10/18/2025












